[Thom Oostendorp's Funpages]

[Image: Thom Oostendorp]
This picture was taken in the Millingerwaard, near Nijmegen.
It's one of my favorite spots to take a stroll in the weekends.
In the back on the left you can see many geese flying.

Heart

[Image: Thom's heart]
Click on this image to see my heart in action in xanim format
If you don't have xanim, click here to see the same movie in less quality in mpeg format.
Remember to put your video player in loop mode.

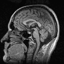
Head

[Image: Thom's brain]
Click on this image to see my brain at rest

Family History

If you're interested in genealogy, you can take a look at my family history. It goes all the way back to 1565!

Twente

Voor Hollanders die rondlopen met plannen in Twente op vakantie te gaan of te gaan werken, is er een woordenlijst voor Twents op reis en op het werk.

Volleybal

[Image: the essence of volleyball]
The essence of the magical game of volleybal.

Go to the Top Go to the Homepage